This page in English!  

Sinne und Sinnesorgane

 

Diese Seite setzt die Kenntnis der Seite "Das Nervensystem" voraus.
Sinnesleistungen der Weinbergschnecke: Beschreibung mit Versuchen!

Eine Weinbergschnecke ist für ihre sprichwörtlich langsame Fortbewegung bekannt. Dadurch wird der Betrachter zunächst einmal zur Annahme verleitet, Weinbergschnecken seien nur zu wenig entwickelten Sinnesleistungen fähig. Dieser Schein trügt jedoch: Die Landlungenschnecken (Stylommatophora), zu denen auch die Weinbergschnecke gehört, stellen im Rahmen der Weichtiere eine der am höchsten entwickelten Gruppen dar. Ihre Anpassung an das Landleben konnte nur deswegen so erfolgreich sein (ein Großteil der bekannten Schneckenarten leben an Land), weil sich neben Atmung, Fortpflanzung und Entwicklung auch die Sinne und Sinnesorgane der Landschnecken an die Anforderungen des Landlebens angepasst haben.

Sinne oder Sinnesorgane?

Sinnesorgane, die spezialisiert nur der Aufnahme und der Verarbeitung von Reizen dienen, besitzt die Weinbergschnecke jedoch im engeren Sinne nur zwei: Die Augen an der Spitze ihrer beiden großen Fühler und die Statocysten (s. u.), flüssigkeitsgefüllte Bläschen nahe dem Schlundring, die als Gleichgewichtsorgan dienen. Die übrigen Sinne der Weinbergschnecke, darunter der Tastsinn, die chemischen Sinne (Geruchs- und Geschmackssinn), sowie Temperatur- und Feuchtigkeitssinn, wirken nicht durch Sinnesorgane, sondern durch einzelne Sinneszellen. Diese können, wie beim Geruchs- und Geschmackssinn, wesentlich am Kopf konzentriert sein, oder, wie beim Tastsinn, in unterschiedlicher Dichte über die gesamte Körperoberfläche verstreut liegen.

Allgemein sind Sinnesorgane und Sinneszellen der Weinbergschnecke in der Nähe des Kopfes konzentriert, ein Grund dafür, dass auch die Nervenknoten (Ganglien) in diesem Teil des Körpers im Schlundring angeordnet sind. Besonders reich an Sinneszellen sind die Fühler der Schnecke, die also keineswegs nur als Tastorgane dienen, wie der Name vermuten ließe.

Der Lichtsinn

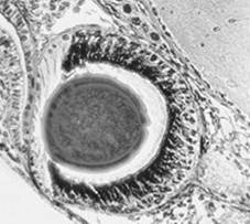
Auge der Weinbergschnecke, mikroskopisch.

Auge der Weinbergschnecke, schematisch.
Auge der Weinbergschnecke.

Die großen Fühler einer Weinbergschnecke (Helix pomatia)
tragen jeweils ein hoch entwickeltes Auge.
Bild: Cornelia Kothmayer.

Die beiden großen Fühler einer Weinbergschnecke wachsen zu einem verbreiterten Endknopf aus, in dem sich die Augen der Schnecke befinden. Obwohl mit bloßem Auge nicht mehr als ein schwarzer Punkt zu erkennen ist, offenbart sich das Auge einer Weinbergschnecke bei genauerer Untersuchung unter dem Mikroskop als hoch entwickeltes Linsenauge. Die Linse im Auge einer Weinbergschnecke besteht aus einer strukturlosen, Licht brechenden Gallertmasse in der kugeligen Augenblase. Die Außenwand des Fühlers, die hier aus durchsichtigen Zellen besteht, bildet die schützende Hornhaut.

Im hinteren und seitlichen Bereich des Auges befinden sich die Lichtsinneszellen, so dass dieser Bereich der Augenwand auch gleichzeitig die Retina bildet. Pigmentzellen isolieren die Sinneszellen gegen seitlich einfallendes Licht. Da die Netzhaut einer Weinbergschnecke nur 2 Typen von Sinneszellen aufweist (das menschliche Auge besitzt 4 - Stäbchen und drei Typen von Zapfen), muss man davon ausgehen, dass die Weinbergschnecke mit Hilfe des Sehfarbstoffes Rhodopsin nur Schwarzweiß sehen kann. Ihr Auge kann Licht in einem Wellenlängenbereich von 390 bis 580 nm, mit dem Optimum bei 496 nm, sehen.

Außer den Landschnecken besitzen nur die hoch entwickelten Kopffüßer (Cephalopoda), wie Kraken und Kalmare, vergleichbare Linsenaugen. Im Gegensatz zu den einfacheren Augen der Meeresschnecken, verleihen sie dem gesehenen Bild sowohl Helligkeit, als auch Kontrast. Die Anordnung der Lichtsinneszellen im Auge der Weinbergschnecke offenbart jedoch einen deutlichen Unterschied zum Linsenauge eines Wirbeltiers: Die Lichtsinneszellen im Auge der Weinbergschnecke deuten ins Augeninnere und damit in Richtung des einfallenden Lichts.

Wenn sich die Lichtsinneszellen auf der lichtabgewandten Seite der Netzhaut befinden, wie beim Wirbeltier, so spricht man von einem inversen Auge. Sind die Sinneszellen dem Licht entgegen gerichtet, spricht man hingegen von einem eversen Auge. Ein solches findet man bei den Wirbellosen, wie z.B. der Weinbergschnecke und anderen Weichtieren.

Die Grundlage dieser Situation ist ein unterschiedlicher Entwicklungsweg: Die Sinneszellen des Schneckenauges entstehen als Bestandteil der Augenwand durch Einstülpung der Außenhaut und werden nachträglich vom Sehnerv innerviert. Im Gegensatz dazu entstehen die Sinneszellen des Wirbeltierauges durch nachträgliche Innervierung des Augenbechers durch den Sehnerv als Ausläufer des Vorderhirns und deuten daher in Richtung der Augenwand. Bevor es sie erreicht, muss das Licht zunächst die Lage davor liegender Zellen durchdringen.

Auch außerhalb des Auges liegen Lichtsinneszellen in der Haut über die Körperoberfläche verteilt. Als Folge dessen kann die Schnecke plötzlicher Veränderungen der Helligkeit in ihrer Umgebung erkennen. Daher zieht sie sich in ihre Schale zurück, wenn ein plötzlicher Schatten, der in der Natur wahrscheinlich einen Angreifer bedeutet, über sie fällt.

Die Augen der Schnecken.

Der Tastsinn

Der Dorn stellt für die Weinbergschnecke kein Hindernis dar.
Scharfe oder spitze Pflanzenteile, wie dieser Dorn, stellen für
die Weinbergschnecke dank ihres ausgereiften Tastsinns, zu-
sammen mit ihrer Schleimschicht, kein Hindernis dar.
Bild: Robert Nordsieck.

Der ganze Körper der Weinbergschnecke ist berührungsempfindlich. Im besonderen Maße gilt dies jedoch für die Fühler oder Tentakel der Schnecke und den übrigen Kopfbereich. Wenn die Schnecke mit einem Hindernis in Kontakt kommt, zieht ein Rückziehmuskel (Retraktor) blitzschnell die betroffenen Körperteile der Schnecke zurück, im Extremfall kann sich mittels des großen Spindelmuskels die ganze Schnecke in ihr Gehäuse zurück ziehen. Wie gut der Tastsinn, zusammen mit dem Lagesinn und der charakteristischen Fortbewegung einer Weinbergschnecke funktioniert, kann man erkennen, wenn man sie dabei beobachtet, wie sie über den stacheligen Stängel einer Heckenrose kriecht, ohne sich zu verletzen. Unter Versuchsbedingungen kann man diesen Vorgang auch mit Hilfe einer Messerklinge nachstellen: Zunächst ertasten die kleineren Fühler und die Lippen der Schnecke den Untergrund, während die großen Fühler mit den Augen suchend durch die Umgebung schwenken. Während die Schnecke über eine Oberfläche kriecht, ertastet sie mit der Fußsohle weiter den Untergrund und passt sich seiner Form an.

Der Lagesinn

Weinbergschnecke wendet auf einem dünnen Ast.
Damit sie so auf einem dünnen Ast wenden kann, muss eine
Weinbergschnecke ihre Lage im Raum genau kennen.
Bild: Robert Nordsieck.
   
  Trockenruhende Weinbergschnecke.
Ohne die notwendige Feuchtigkeit ist es meist mit der Aktivität
der Weinbergschnecke vorbei. Bild: Robert Nordsieck.

Wohin sie ihr Weg führt, kennen Weinbergschnecken nur wenige Grenzen. In Rückenlage und selbst über die dünnsten Äste wird eine Weinbergschnecke kriechen, wenn es möglich und notwendig ist. Auf den Rücken gedreht, so versucht die Weinbergschnecke, durch Verdrehen des Fußes wieder in die ursprüngliche Lage zu gelangen. Am Ende eines Astes angelangt, versucht sie, durch eine suchende Bewegung des Vorderkörpers, wieder eine Unterlage zu finden.

Damit sie zu solchen Leistungen in der Lage ist, kann man davon ausgehen, dass die Weinbergschnecke ihre Lage im Raum genau kennt, dass sie also einen Lagesinn besitzt. Im Kopfbereich unweit des Schlundrings befinden sich dazu die Lagesinnesorgane der Schnecke, die Statocysten. Sie bestehen jeweils aus einer mit Flüssigkeit gefüllten Blase, in dem Kalkkörner, die Statolithen, schwimmen. Durch ihre Massenträgheit bleiben diese Kalkkörner im Inneren der Statocyste bei einer Lageveränderung hinter der Bewegung der Schnecke zurück. Dabei kommen sie mit Sinneshaaren an der Wand der Statocyste in Kontakt. Die Information über diesen Reiz gelangt über einen Nerv zum Cerebralganglion.

Geruchs- und Geschmackssinn

Geruchs- und Geschmackssinn beruhen auf den Sinnesreizen, die bestimmte chemische Stoffe erzeugen und werden daher als chemische Sinne bezeichnet. Im Gegensatz zum Geruchssinn ist der Geschmackssinn definitionsgemäß ein Kontaktsinn, d.h. während Geruchsinformationen auch auf Entfernung gewonnen werden können, sind Geschmacksinformationen nur im direkten Kontakt zu erhalten.

Weinbergschnecke schäumt zur Abwehr.
Zur Abwehr schädlicher Substanzen, oder wenn sie sonst stark
gestört wird, beginnt die Weinbergschnecke zu schäumen.
Bild: Ingrid Mittelstaedt.

Bekanntermaßen nehmen Schnecken schon auf teilweise größere Entfernungen Nahrungsquellen wahr und bewegen sich dann gezielt darauf zu, auch ohne dass sie die Nahrungsquelle selbst sehen können. In Versuchen konnte man beweisen, dass Weinbergschnecken auf künstliche Geruchsquellen ebenso zu kriechen, wie auf eine echte Nahrungsquelle. Vor allem in den Lippen, zusätzlich aber auch in den kleinen und großen Fühlern der Weinbergschnecke, konnten Geruchssinneszellen festgestellt werden. Zusätzlich sind Weinbergschnecken auch mit der Oberfläche der Haut dazu in der Lage, Geruchsinformationen wahrzunehmen. Während der Kopf am empfindlichsten ist, nimmt die Geruchsempfindlichkeit auf die Schwanzspitze zu ab.

Eine Weinbergschnecke wird auf ein Salatblatt zu kriechen, weil es aus der Entfernung wie eines aussieht und riecht. Wenn der Salat aber zu Versuchszwecken mit einer geruchslosen, abstoßend schmeckenden Chemikalie, etwa Essigsäure, präpariert wurde, wendet die Schnecke sich nach dem ersten Kontakt damit ab und beginnt im wahrsten Sinne des Wortes, zu schäumen – eine Schutzreaktion gegen den Kontakt mit unangenehmen Substanzen.

Temperatur- und Feuchtigkeitssinn

Die Fähigkeit, Veränderungen in der Umgebungstemperatur und der Luftfeuchtigkeit wahrnehmen zu können, ist für Landschnecken allgemein, und so natürlich auch für die Weinbergschnecke, überlebenswichtig.

In Abhängigkeit von Umgebungstemperatur und Feuchtigkeit zeigen Weinbergschnecken sehr unterschiedliche Verhaltensweisen. Während sie während der kühleren Temperaturen in der relativ feuchten Luft des Abends aktiv werden, suchen sie tagsüber, während die Luft heiß und relativ trocken ist, ein Versteck auf, um dort die Trockenruhe zu verbringen. Allgemein zieht die Weinbergschnecke als Feuchtlufttier den kühleren Schatten, in dem sie zusätzlich gegen Sicht geschützt ist, von der Sonne beschienenen Stellen vor und wird jene aktiv meiden, feuchte Stellen jedoch gezielt aufsuchen, ein Sachverhalt, der auch leicht daran zu erkennen ist, dass Schnecken im Garten mit Vorliebe die frisch gegossenen Beete aufsuchen.